Seorang wanita yang sering menghidap migrain sepanjang hayat dewasanya terkejut apabila mendapati dia sebenarnya mempunyai tumor otak empat inci.

Lisa Dumbiotis, 38, dari Shawlands, Glasgow telah mengalami migrain sejak berusia 15 tahun.
Advertisement
Bagaimanapun, sejak tahun lalu, dia mula hilang rasa pada tangannya, terus melihat cahaya silau dan mula mengalami pening.
Pada mulanya, ibu kepada seorang cahaya mata itu menganggap bahawa simptom tersebut hanyalah sesuatu biasa yang berkaitan dengan migrain, namun ubat-ubatan yang kebiasaan diambil olehnya tidak membantu.
Atas cadangan ayahnya, Lisa kemudian menempah ujian mata itu pun selepas menyatakan simptom luar biasanya kepada pakar optik yang mana dia kemudian segera dikejarkan ke Hospital Queen Elizabeth di Glasgow.
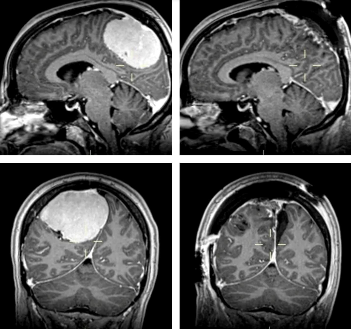
Hasil imbasan CT dan MRI mendedahkan bahawa dia mempunyai tumor otak yang besar pada lebar empat inci, yang terbesar yang pernah dilihat oleh pakar bedah pembedahan itu.

Menurut pakar, tumor itu menolak otak Lisa ke hadapan kepalanya sehingga menyebabkan tekanan dan pening.
Namun mujur ia bukan kanser.
Lisa bagaimanapun, memerlukan pembedahan kecemasan yang mana dia kemudian menjalani pembedahan selama 11 jam untuk membuang tumor tersebut.
“Dalam tempoh tiga hari, saya berada di teater menjalani pembedahan kecemasan.”
Menurutnya, ia berikutan kebimbangan pihak hospital yang ingin memantau sekiranya tumor itu barah, lagi-lagi apabila datuk Lisa meninggal dunia akibat kanser otak.
“Pakar bedah saya adalah wira saya dan membuatkan saya berasa selesa melalui semua itu. Dia datang melawat sebelum saya pergi ke teater dan benar-benar menenangkan saya,” tambahnya.
“Dia berkata bahawa ia adalah tumor terbesar yang pernah dilihatnya, jadi dia ingin terlibat untuk mengeluarkannya.
“Saya rasa seolah-olah saya berhutang nyawa dengan lelaki ini.”
Sumber: [1]