Seorang wanita dari New Zealand yang tercekik tulang ayam pada lehernya, berkongsi satu kisah menarik tentang bagaimana dia berjaya mengatasi masalah tersebut.

Menurut wanita yang dikenali sebagai Beth Brash, dia mendakwa doktor di bilik kecemasan memberikannya ubat yang tidak disangka-sangka iaitu dengan meminum banyak air bergas.
Advertisement
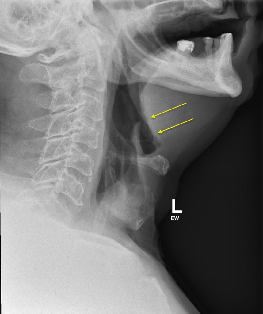
Semuanya bermula ketika dia mengunjungi restoran kegemarannya di Wellington dan mencuba hidangan ayam baharu mereka. Staf restoran bertanya sama ada dia okay atau pun tidak dengan hidangan yang bertulang, tetapi wanita itu tidak kisah. Malangnya, semasa memakan hidangan pedas itu, dia merasakan sesuatu pada lehernya, yang ternyata adalah sekeping tulang ayam kecil.
Walaupun dia bimbang tentang rasa dalam lehernya itu, Brash tidak panik dan menahan kesakitan sepanjang hujung minggu, dengan beranggapan bahawa rasa itu akan hilang dengan sendirinya.
Walau bagaimanapun, apabila rasa itu berterusan, dia akur dan akhirnua pergi berjumpa doktor. Doktor kemudian mengesahkan bahawa ada tulang ayam kecil tersekat pada lehernya, tetapi meyakinkannya bahawa itu bukanlah masalah yang serius.
Namun satu kejutan baginya apabila pakar Telinga, Hidung, dan Tekak (ENT) mencadangkan agar dia minum empat tin air bergas untuk mencairkan tulang tersebut. Dia mendapati ubat tersebut satu rawatan yang unik, tetapi memutuskan untuk mencubanya. Dia kemudian membeli empat tin air bergas dari pasaraya dan terkejut apabila dia berasa lebih baik pada keesokan paginya. Pada hari berikutnya, dia sudah kembali seperti biasa.

Brash menyatakan kekagumannya terhadap sifat menghakis air bergas dan bagaimana ia bertindak sebagai "pembersih saluran" untuk membersihkan lehernya.
Dr. Bryan Betty, Pengerusi General Practice di New Zealand berkata dia belum pernah mendengar tentang ubat atau rawatan seperti ini sebelumnya. Walau bagaimanapun, beliau menyebut bahawa air bergas diketahui sebagai minuman berasid yang boleh merosakkan enamel gigi. Walaupun ia bukan rawatan biasa yang diberikan oleh doktor, jika ia dapat mengelakkan prosedur yang melibatkan pembedahan, ia boleh dicuba.
Menurutnya lagi, jika minum air bergas dapat mencegah keperluan pembedahan atau prosedur perubatan lanjut, maka nasihat tersebut boleh digunapakai.
Sumber: Oddity Central