Gula gula getah merupakan sejenis manisan yang terbuat daripada getah asli pokok gaharu. Ia diketahui oleh masyarakat sebagai hidangan manis yang popular yang menawarkan rasa dan tekstur yang unik.
Advertisement
Namun siapa sangka, gula-gula getah boleh mendatangkan maut kepada individu, khasnya golongan kanak-kanak?
Terbaharu, seorang kanak-kanak berusia lima tahun di Ohio, Amerika Syarikat nyaris maut selepas didapati menelan hampir 40 gula-gula getah.

Kanak-kanak lelaki itu dilapor mula mengalami sakit dan cirit birit selepas gula-gula getah yang ditelannya bergumpal dalam perut dan menghalang sistem penghadaman.
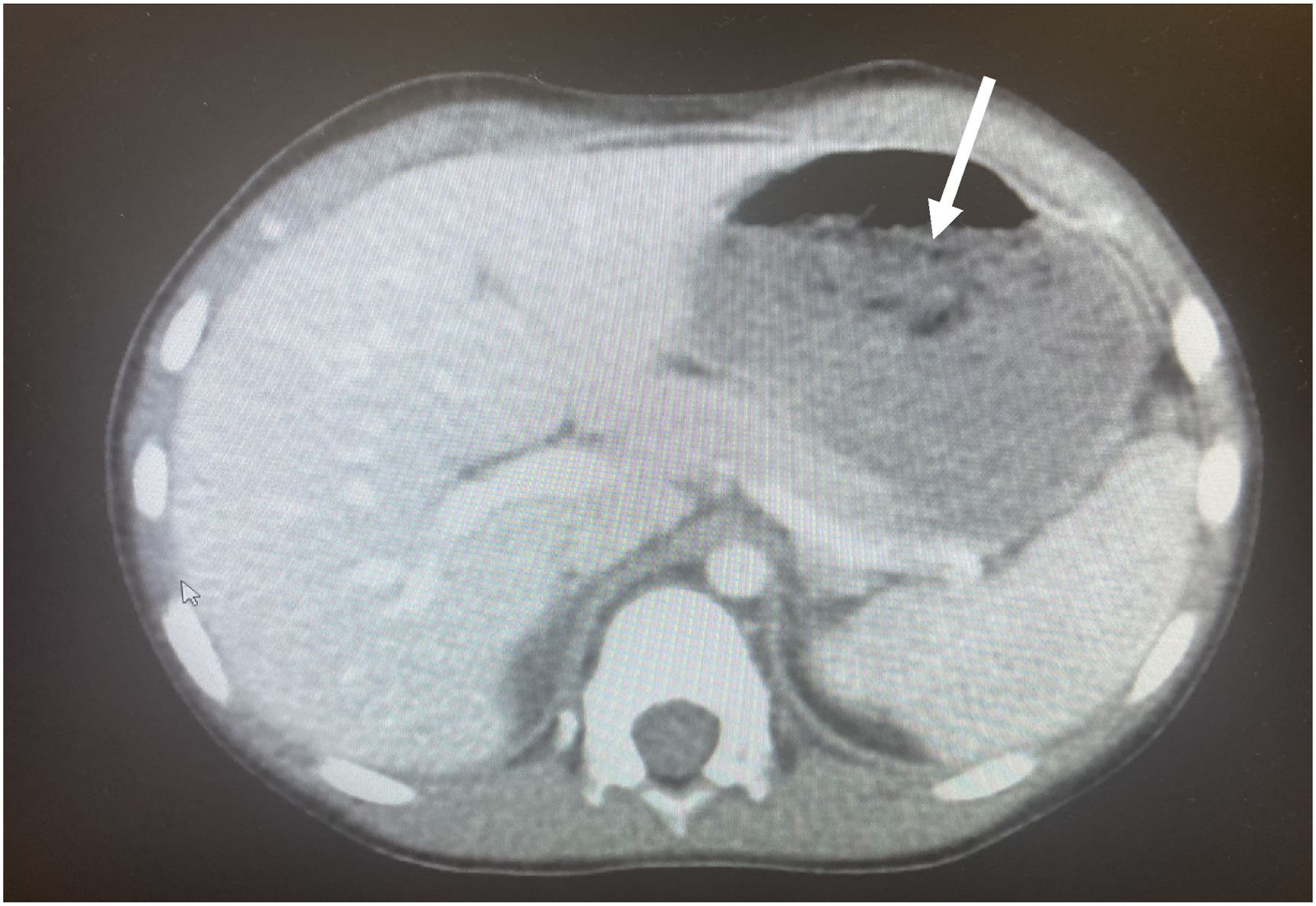
Ekoran itu, pasukan doktor yang diketuai oleh Dr. Chizite Iheonunekwu di Klinik Cleveland mula melakukan prosedur pembedahan dan menarik keluar gumpalan gula-gula menerusi kerongkong beliau.

Jelas doktor, gumpalan gula-gula yang disebut sebagai bezoar tersekat pada perut kanak-akanak ini hingga mengambil kira-kira 25 peratus ruang.
Dengan menggunakan skop khas, doktor kemudian mengeluarkan gumpalan berkenaan melalui esofagus atau kerongkong. Prosedur itu terpaksa dilakukan berulang kali bagi mengeluarkan kesemua gula-gula getah yang tersumbat.

“Dia amat bernasib baik kerana gumpalan gula-gula getah itu tidak menyekat pada ususnya yang boleh menyebabkan kematian,” katanya.
Mujur kanak-kanak itu tidak mengalami sebarang komplikasi kesihatan jangka panjang dan beliau juga telah selamat. Insiden ini juga telah diterbitkan dalam jurnal perubatan, JEM Reports.
