Seorang lelaki berusia 19 tahun dari Shenzhen, China, telah mengalami masalah perubatan yang serius semasa menghadiri konsert kumpulan idola kegemarannya.

Dengan penuh semangat, lelaki yang tidak didedahkan identitinya itu menjerit dengan kuat semasa persembahan kumpulan berkenaan.
Advertisement
Malangnya, lelaki itu tiba-tiba merasakan sakit yang menusuk pada dada dan mengalami kesukaran dalam pernafasan. Akibatnya, dia pengsan ditempat kejadian.
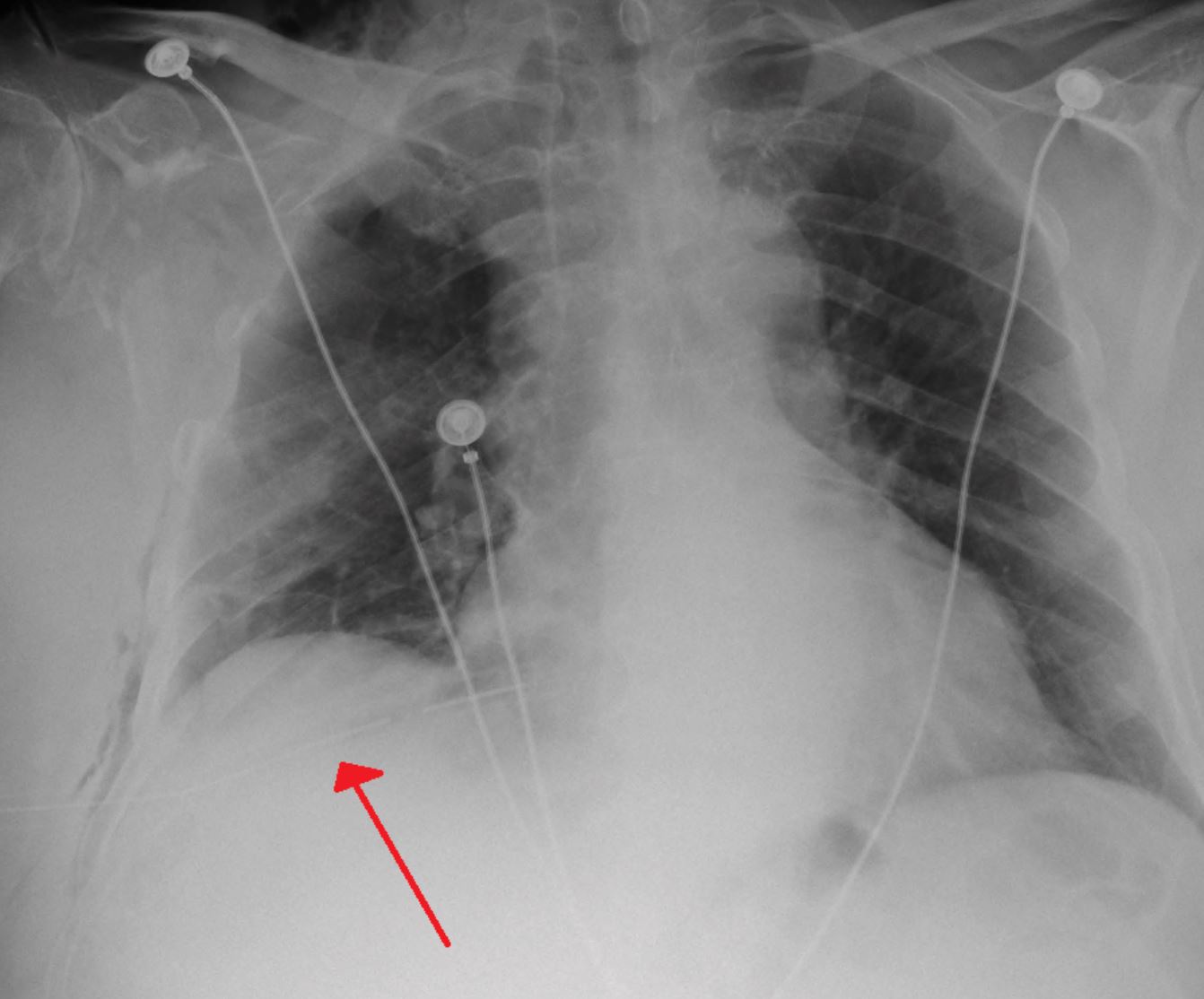
Setelah tiba di bilik kecemasan hospital tempatan, doktor mendiagnosnya mengalami pneumotoraks, juga dikenali sebagai "paru-paru runtuh".

Pneumotoraks merujuk kepada keadaan udara yang tidak normal di antara paru-paru dan dinding dada. Ia boleh disebabkan oleh pelbagai faktor seperti kecederaan dada, penyakit paru-paru, atau pecahnya alveolus disebabkan oleh tekanan yang tiba-tiba atau berlebihan.

Dalam kes ini, doktor percaya bahawa jeritan kuat lelaki muda tersebut semasa konsert menyebabkan pecahnya alveolus pada salah satu paru-parunya.
Nasib lelaki itu bagaimanapun baik apabila pasukan perubatan dengan pantas mengeluarkan udara berlebihan dari ruang pleura dan mengurangkan tekanan pada paru-parunya yang ‘runtuh’. Lelaki berusia 19 tahun itu juga dilaporkan dalam proses pemulihan yang baik.
Insiden seperti ini bukanlah pertama kali terjadi. Pada tahun 2017, seorang wanita muda mengalami keadaan serupa semasa menjerit dengan kuat, semasa menghadiri konsert One Direction.
Walaupun kes seperti ini jarang berlaku, orang ramai diingatkan untuk menjaga kesihatan dan mengelakkan daripada terlibat dalam aktiviti yang mungkin menimbulkan tekanan berlebihan pada tubuh.
Sumber: Oddity Central